Fig. 2
From: P53 aggregation, interactions with tau, and impaired DNA damage response in Alzheimer’s disease

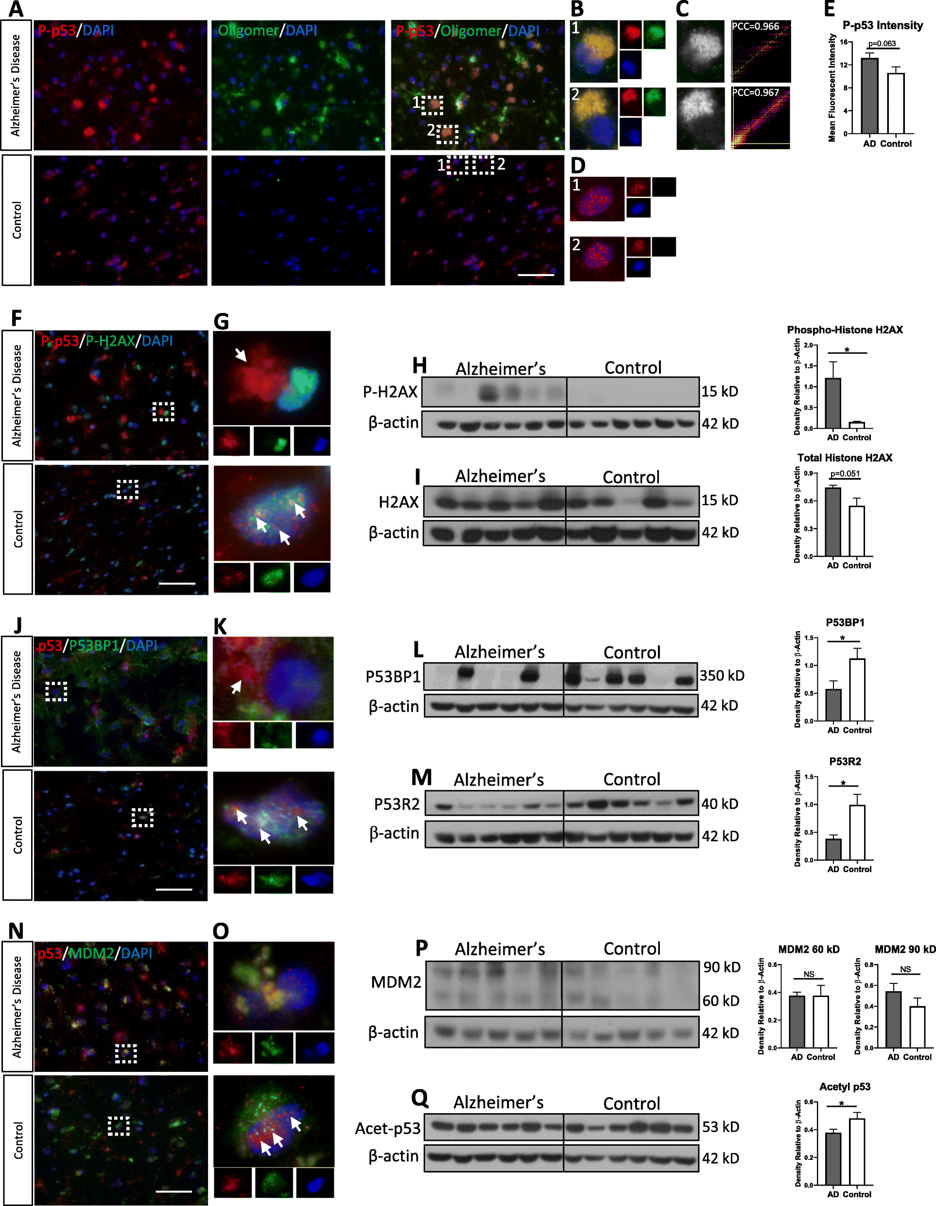
Phosphorylated p53 forms oligomers, mislocalizes, and DNA damage response is impaired in human AD brain. a Representative confocal images of human AD and age-matched control brain probed with anti-P-p53 antibody (red) and anti-I11 antibody (green; oligomer-specific). b Magnified ROI from AD merged panels in A. Colocalization between P-p53 and I11 is shown in the AD tissue with other oligomers in vicinity. c Colocalized pixel map and intensity scatterplot with PCC of 0.96 indicates a high degree of colocalization, suggesting P-p53 oligomers form in AD brain. d Magnified ROI from control merged panel in A. No colocalization detected in control brain. e Fluorescent intensity of P-p53 in AD and control brain shows no significant difference (n = 3 in technical triplicate). f Representative confocal images of human AD and control brain probed with anti-P-p53 (red) and anti-P-H2AX (green) in merge panel. g Magnified ROI from AD merged panels in F. Control brain shows P-p53 in nuclei with P-H2AX positive signal. h Western blot probed for total histone H2AX and (i) P-H2AX (n = 6 in technical duplicate). j Representative confocal images of human AD and control brain probed with anti-p53 (red) and anti-p53BP1 (green) in merge panel. k Magnified ROI from AD merged panels in J. l Western blot probed for P53BP1(n = 6 in technical duplicate), and P53R2 (n = 6 in technical duplicate) (m) show significant decrease in AD brain. n Representative confocal images of human AD and age-matched control brain immunofluorescently probed with anti-p53 (red) and anti-MDM2 (green) in merge panel. o Magnified ROI from AD and control merged panels in N. p Western blot of AD and control brain probed for MDM2 show no significance difference at the full-length (90kD) and caspase-3 fragment (60 kD) (n = 5). q Western blot probed for acetylated-p53 shows a significant decrease in AD brain (n = 6 in technical duplicate). Immunoblot probed with β-actin shown in L was reused in Q. Keyence Microscope 60X magnification. Scale bar = 50 μm